corneal ulcer

The Ultimate Guide to Beating a Dangerous Corneal Ulcer

corneal ulcer is one of the most serious eye emergencies you can face. Think of it as an open sore on the cornea—the clear, protective dome at the very front of your eye. When this vital surface is damaged, it can threaten your vision if not treated immediately.

This condition is often caused by an infection, but injuries and even contact lens misuse can lead to it. Therefore, knowing the warning signs is not just helpful; it’s critical. This guide breaks down what you must know to protect your vision.

What Causes a Corneal Ulcer?

A corneal ulcer typically forms when germs invade the cornea, often after its protective outer layer has been damaged. The main culprits include:

  • Bacterial Infections: This is the most common cause, especially for contact lens wearers. Bacteria like Pseudomonas can get trapped behind a lens and multiply, quickly leading to an infection.
A diagram showing the location of a corneal ulcer as a white spot on the eye's cornea.

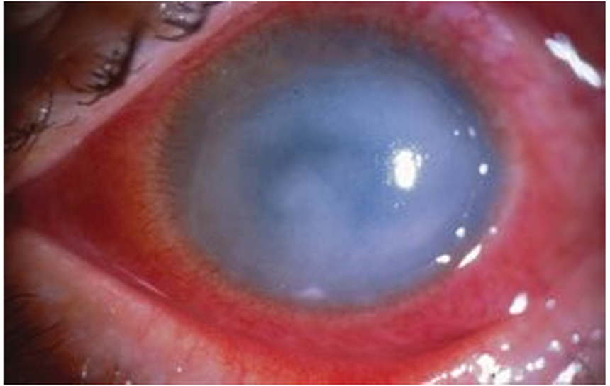
Bacterial ulcer with mucus debris

  • Viral Infections: Viruses are another frequent cause. For example, the herpes simplex virus (the same one that causes cold sores) can create unique, branching sores on the cornea.
A diagram showing the location of a corneal ulcer as a white spot on the eye's cornea.

Dendritic ulcer in HSV

  • Fungal Infections: These are less common but can be very serious. Fungal ulcers often happen after an eye injury involving a plant or organic matter, like a tree branch.
A diagram showing the location of a corneal ulcer as a white spot on the eye's cornea.

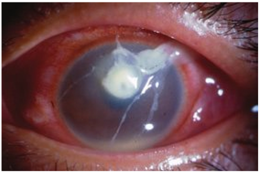
Hypopyon and fungal ulcer

  • Parasitic Infections: A rare but incredibly painful infection caused by an amoeba called Acanthamoeba. This parasite lives in water, so swimming or showering with contact lenses in is a major risk factor.
A diagram showing the location of a corneal ulcer as a white spot on the eye's cornea.

Ring shape ulcer

  • Severe Eye Injuries: Even a simple scratch from a fingernail or debris can create an opening for germs to enter.
  • Severe Dry Eye: When your eyes don’t produce enough tears, the cornea loses its natural protective barrier, making it more vulnerable to damage. 

Warning: 7 Critical Signs of a Corneal Ulcer

You must not ignore the symptoms of a corneal ulcer. See an eye doctor immediately if you experience any of the following:

  1. Severe Eye Pain: This is often the first and most intense symptom.
  2. A Feeling That Something is in Your Eye: A persistent, gritty sensation.
  3. Intense Redness and Swelling.
  4. Blurry Vision: Your vision may become hazy or unclear.
  5. Extreme Sensitivity to Light (Photophobia): You may find it painful to be in bright rooms or outdoors.
  6. Constant Tearing or Discharge: The eye may produce excessive tears or a thick, pus-like discharge.
  7. A Visible White or Gray Spot on Your Cornea: You may be able to see the ulcer in a mirror.

How Doctors Diagnose and Treat a Corneal Ulcer

To save your vision, a doctor needs to diagnose and treat the ulcer quickly.

First, an eye doctor will use a special microscope called a slit lamp to get a magnified view of your eye. They will apply a dye (fluorescein) that makes the ulcer glow under a blue light, showing its exact size and shape. In some cases, the doctor may gently scrape the ulcer to get a sample for the lab. This helps identify the exact germ causing the infection.

Treatment must start immediately and depends on the cause:

  • For Bacterial Ulcers: The doctor will prescribe powerful, fortified antibiotic eye drops. You may need to use them as often as every hour, even through the night.
  • For Viral Ulcers: Antiviral eye drops and sometimes oral medications are used.
  • For Fungal & Parasitic Ulcers: These require specialized, intensive antifungal or anti-parasitic eye drops, which can last for weeks or months.

In addition, a doctor might prescribe dilating eye drops to ease pain. If the ulcer causes severe scarring, a corneal transplant may be necessary later to restore vision. For more details on treatment, see this guide from the [External Link] National Eye Institute..

How to Prevent

You can dramatically reduce your risk with a few simple steps.

  • Practice Perfect Contact Lens Hygiene. Always wash your hands before touching your lenses. Never sleep in your contacts (unless specifically approved) and never use tap water to clean them.
  • Protect Your Eyes. Wear safety glasses when doing yard work, construction, or any activity with a risk of eye injury.
  • Treat Dry Eyes. Use artificial tears to keep your eyes lubricated. If you need more help, check out our guide to managing dry eye syndrome.
  • See a Doctor Promptly for any eye injury or signs of infection.

In conclusion, a corneal ulcer is a true eye emergency. By recognizing the critical warning signs and seeking immediate care, you can prevent permanent vision loss. Your sight is too precious to risk.

Leave a Comment

Your email address will not be published. Required fields are marked *